News

Dr. Nee Khoo, director of the echocardiography lab, Stollery Children’s Hospital, Edmonton, Canada, explains the rapidly growing adoption of pediatric 3D transesophageal echo (TEE) to not only preplan, but also guide and assess the results of congenital heart surgeries.

Nee Khoo, MBChB, director of the echocardiography lab at Canada's Stollery Children’s Hospital, explains the rapid adoption of pediatric 3D transesophageal echo.

 

Thumbnail

The exam effectively helps providers manage patients’ treatment options, but for some, the costs associated with those treatments may negate the value of its findings.

potential new tariffs on medical devices, imaging equipment, PPE and more

RSNA, RadNet, the RBMA and Japanese imaging leaders all recently spoke out against the possibility of more fees on device imports. 

Thumbnail

Neiman researchers recently scoured for factors that might impact screening rates across cancers of the colon/rectum, lung, breast and prostate, using nationwide Medicare data.

healthcare quality imaging appropriateness clinical decision support CDS checklist

CMS explains how IR specialists can submit prior authorization requests to the federal payment program for seniors, including what evidence is required. 

breast cancer screening mammography

The number of women who had a screening mammogram miss cancer leapt from less than 1 per 1,000 women in 2010 up to as high as 2.5 by 2022.

Thumbnail

Utilizing both exams provides greater anatomic detail than using one or the other alone. Doing so could significantly improve patient outcomes, experts charge. 

Pre-operative breast MRI improves outcomes in younger women with breast cancer

Advanced imaging among this patient population could help radiologists better understand the risk of potential cancer recurrence. 

Thumbnail

The pair's hope is that their model, which will first focus on chest X-rays, will provide significant benefits for radiology workflows.

Video Christoph Wald explains how the Health AI Challenge help understand how foundational AI models work

Christoph Wald, MD, vice chair of the American College of Radiology Board of Chancellors, explains the partnerships with academic institutions to create the Health AI Challenge will help provide a better understanding of how foundational AI models work.

 

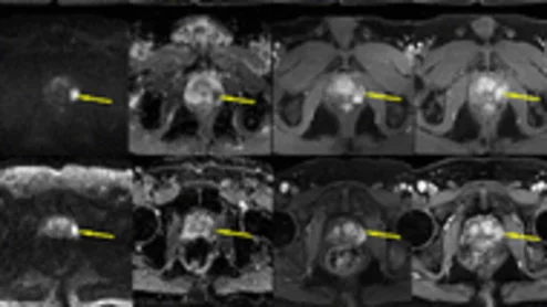
The less invasive method could help men avoid some of the unpleasant side effects such as urinary incontinence and sexual dysfunction, which are known deterrents for patients facing potential prostatectomy.

Simulated MR images could eliminate the need for contrast in prostate scans.

Synthetic images are often of diagnostic quality and can be reliably used to assess clinically significant prostate cancer while also sparing patients from contrast exposure.

Around the web

Nee Khoo, MBChB, director of the echocardiography lab at Canada's Stollery Children’s Hospital, explains the rapid adoption of pediatric 3D transesophageal echo.

 

The pressure is on for ASE and other societies to create a new CPT code for the use of interventional echocardiography during structural heart procedures.

Beyond amyloidosis, nuclear cardiology is also increasingly used to image inflammation and infection in the myocardium, especially in diseases such as cardiac sarcoidosis and myocarditis.