News

District of Columbia DC congress capitol hill

Medicare payments will be put on a 10-day hold, with about 53% of CMS staff retained, and rulemaking at the key agency is likely delayed.

Thumbnail

Neiman Health Policy Institute experts urged radiology leaders to use these results in evaluating issues related to retention in their own practices. 

U.S. FDA Sign

The U.S. Food and Drug Administration highlighted concerns about "data drift," which can potentially lead to performance degradation, bias or reduced reliability. 

Planmed XFI upright CT scanner

The device is intended for use in orthopedics, where weight-bearing imaging can make a significant difference in diagnosis and treatment.

Thumbnail

At the start of 2025, CMS issued a national coverage determination on CTC that led to widespread insurance coverage of the exam. 

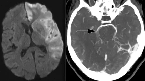
Ischemic stroke shown in CT scans. Image courtesy of RSNA

Such baseline neuroimaging markers could provide clues into how patients will respond to treatment, and thrombolysis in particular.

Medicare data stethoscope healthcare trends graphs finance financials

This uptick was attributed to more scans being administered per ED visit, rather than a rise in overall patient volumes, an analysis of Medicare data found. 

Thumbnail

Ashok Panigrahy, MD, now 54, was first caught with materials depicting the sexual exploitation of minors in November 2022 and pleaded guilty in March.

UnitedHealthcare UHC UnitedHealth

Mobile, Alabama-based Infirmary Health has more than 700 doctors on its medical staff including about 20 radiologists, providing imaging services at a dozen locations. 
 

Thumbnail

AGFA is partnering with Europe's Alliance Medical to implement its cloud-based solutions across all of the imaging provider’s 120 sites throughout the UK. 

California State Capitol Sacramento

If passed, the bill would authorize the AG to grant, deny or impose conditions related to changes in control or the acquisition of a physician group. 

Thumbnail

New research analyzes the effectiveness of AI-generated reports in simplifying radiologists’ imaging interpretations into more easily understandable language, as judged by nonphysicians. 

Around the web

Jamieson M. Bourque, MD, MHS, previewed his plans for the future in a new interview with Cardiovascular Business. 

An updated version of Heartflow's Plaque Analysis platform has gained FDA clearance. In addition, the company announced that Cigna will cover the platform going forward.

Several groups collaborated on the document, which is designed to help clinicians provide high-quality, consistent care when using flurpiridaz during cardiac PET imaging exams.