News

Congress Money washington DC legislation coverage payment

Healthcare policies have rapidly evolved in recent years, and 2025 was no exception. From payment policies to physician shortages, ASE and other medical societies had plenty to fight for throughout the year.

Prenuvo MRI

Sean Clifford filed the lawsuit Sept. 24, 2024, in the New York State Supreme Court, contending a radiologist failed to spot signs of a forthcoming stroke.   

insurance insurer payment claim denial reimbursement prior authorization

This utilization management tactic disproportionately affects specialties such as diagnostic radiology, radiation oncology and cardiology. 

IV hospital room intravenous drip solution

As IR procedure volumes continue to climb, coupled with anesthesiology provider shortages, there is growing interest in achieving “deeper, more reliable sedation.” 

healthcare surprise billing statement payment

A new analysis claims the “benchmark” qualifying payment amount insurers calculate often “dramatically” understates the actual median in-network rates they are paying for in-network care.  

breast radiologist breast cancer mammography

The group was recently asked to provide input on a new set of recommendations for image-guided biopsies of suspicious breast lesions—offering providers clarity on key clinical scenarios.

Thumbnail

The decision to utilize such scans is challenging for emergency providers, with the condition most often of benign origin, according to new research published in the journal of Emergency Radiology. 

 

 

Thumbnail

Reports indicate that the radiographer purchased and drank a bottle of wine during one of his lunch breaks. 

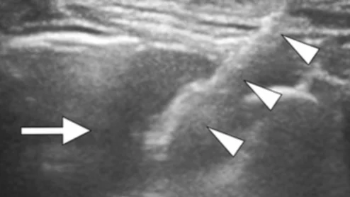
Ultrasound guidance a safer, more accurate method for biopsies of peripheral lung lesions in children

The technique has proven effective in adults, but until recently there has been a lack of data on its use among children.

Thumbnail

Hackers have even gone as far as issuing fabricated acceptance letters with images plucked from the publication’s official website.

radiology clock alarm turnaround time efficiency

“It is no good putting in such long, intense hours that you cannot have a life. It is literally killing people, and it almost killed me,” one anonymous rad says. 

breast ultrasound biopsy

Rising imaging volumes have led to an uptick in the unearthing of unexpected breast lesions, with a corresponding jump in follow-up examinations.

Around the web

Healthcare policies have rapidly evolved in recent years, and 2025 was no exception. From payment policies to physician shortages, ASE and other medical societies had plenty to fight for throughout the year.