News

Mirvat Alasnag, MD, FACP, FACC, FSCAI, FSCCT, director of catheterization laboratory and research, King Fahd Armed Forces Hospital, Jeddah-Saudi Arabia, director of TCT Middle East, and member of Society of Cardiovascular CT (SCCT) Education Committee, outlines why coronary CT angiography (CCTA) imaging will likely be a paradigm shift in cardiology, and where the gaps remain to gather more clinical evidence.

Mirvat Alasnag, MD, spoke to Cardiovascular Business about CCTA's growing influence in cardiology. 

The safety notice was issued due to the risk of pieces of the needles dislodging into tissue during procedures. 

70cm bore Magnetom Flow platform

The health tech company announced the news Thursday, noting that the platform should help facilities address the growing demand for imaging.

Thumbnail

A radiologist from Connecticut is speaking out about being scammed by an individual she says took advantage of her emotions at a vulnerable time. 

burnout stress work staffing

The top 25% of busiest radiologists have read about 31% more studies since 2018 and work nearly 20% more clinical shifts per quarter, compared to seven years ago.

 

Aidoc Jesse M. Ehrenfeld

A practicing anesthesiologist and clinical informaticist, Jesse M. Ehrenfeld, MD, MPH, will aid hospital systems in adopting AI tools from the New York-based technology firm. 

Joshua J. Cooper ACR American College of Radiology

Joshua J. Cooper brings 30 years of experience as the new ACR executive VP of government relations, economics and health policy.  

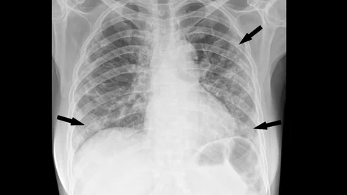
Chest radiograph in a 53-year-old woman with confirmed coronavirus disease 2019, or COVID-19, pneumonia. The patient had fever and cough for 5 days. Multifocal patchy opacities (arrows) can be seen in both lungs. Image courtesy of RSNA. What COVID looks like ob CT medical imaging.

Experts say these new findings represent “a significant advancement in the field of radiology."

court judge ruling case lawsuit dismissal gavel

Capitol Radiology in Laurel, Maryland, first filed suit against the two companies in July 2024, claiming they inked a no-bid joint venture that would push it out of business. 

blood pressure hypertension cuff

The Society of Interventional Radiology recently weighed in on the proposal, expressing concern about requirements to employ a "hypertension navigator." 

radiology structured reporting data mining

Artificial intelligence tools in radiology require constant monitoring to ensure model performance remains consistent.

doctor looking at CLTI patient's leg

The procedure reduces inflammation and pain, and allows patients to achieve relief without having to undergo surgery and months of physical therapy during recovery. 

Around the web

Mirvat Alasnag, MD, spoke to Cardiovascular Business about CCTA's growing influence in cardiology.