News

Lurie Children's Hospital

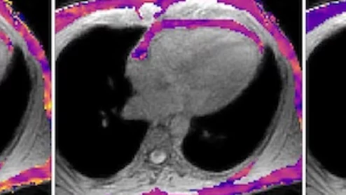
IR specialist Shankar Rajeswaran, MD, and colleagues have delivered a "groundbreaking" new image-guided procedure to treat a rare condition. 

Captive Radiology Wichita Urology mobile PET-CT

RC Capital said it’s investing in the North Canton, Ohio-based radiology vendor as it pursues nationwide expansion. 

technologist training CHCP

The country’s largest hospital system is buying the Medical Technology Management Institute and its parent company for an undisclosed sum. 

radiology residents training

Understanding imaging is beneficial to all medical residents, not just those pursuing a career in the specialty, but many have reported feeling uninformed about the field as a whole.

The systems' deaeration hoses in the X-ray tube cooling units may be vulnerable to degrading over time, preventing them from properly cooling and leading to oil leaks. 

court judge ruling case lawsuit dismissal gavel

Plaintiff attorneys have filed at least three proposed class-action lawsuits against the Greenbrier Clinic in Sulphur Springs, West Virginia. 

An Illinois appellate judge upheld a pervious trial victory that cleared and central Illinois cardiologist Amit Dande, MD, and Prairie Cardiovascular Consults LLP of alleged misdiagnosis of the severity of a patient's heart condition that led to his death prior to a schedule percutaneous coronary intervention (PCI).

Jeffrey Robinson first visited the emergency department at Central Maine Medical Center, Lewiston, in March 2023 complaining of back and stomach pain. 

Wearable ultrasound patch continuously monitors pregnancies

Researchers are hopeful that the patch can give providers the data needed to identify critical abnormalities earlier. 

stroke brain dementia alzheimer's puzzle mental health

Differences in connectivity patterns could reveal which patients are most likely to respond positively to self-guided therapy.

translate language

These findings could have positive implications for regions with diverse patient populations, authors of a new analysis suggest.

American College of Radiology (ACR) Board Chair Alan Matsumoto, MD, FSIR says ACR has concerns about scope creep of non-physicians in radiology.

Efforts to expand the scope of practice for these lesser-trained clinicians are increasing as the growing shortage of physicians becomes more pronounced, especially in rural areas.

Thumbnail

The incident happened in January of this year, with attackers gaining access to the practice’s systems for five days before they were shut out. 

Around the web

The Acist Pro Diagnostic System provides real-time contrast tracking, customizable presets and on-screen troubleshooting.

The company keeps gaining momentum thanks to the success of its AI-powered imaging software. 

The American Society of Nuclear Cardiology visited Capitol Hill to advocate for a variety of issues. Cardiovascular Business spoke to the group's president to learn more.