News

dollar money finance debt decrease

“Rapidly rising healthcare costs continue to be a top concern for members and their employers," the nation's largest commercial insurer wrote in a recent letter to an unidentified imaging group. 

Pamela K. Woodard

The independent, nonprofit—which provides objective advice on health policy—has picked Pamela K. Woodard, MD, and David G. Kirsch, MD, PhD, for the prestigious designation. 

Thumbnail

New artificial intelligence technology could be used as a complimentary tool alongside low-dose GBCAs to enhance exams without sacrificing image quality.

PET study targets inflammation to predict AMI recovery

Targeting CXCR4 during PET scans could help providers gain vital information regarding patients' potential to fully recover from myocardial infarction. 

The pressure is on for ASE and other societies to create a new CPT code for the use of interventional echocardiography during structural heart procedures.

radiology trends lungs imaging graphs

New findings published in RSNA's Radiology highlight the shortcomings of using nodule characteristics and patient history alone to predict an individual’s true cancer risk. 

Steve MacMillan Hologic

Blackstone and TPG have reached a definitive agreement to acquire the Marlborough, Massachusetts-based company for approximately $79 per share. 

Lung cancer screening stethoscope

Researchers with two academic health systems recently tried a new approach to increase LDCT uptake, reaching patients electronically outside of a regular appointment and asking them to request a screening. 

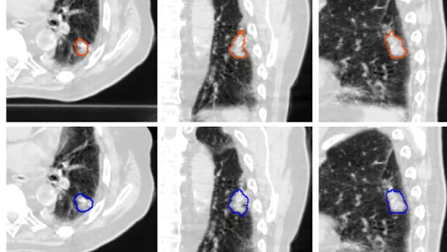
DL model identifies and segments lung tumors on CT scans.

In a new clinical study, the model was able to maintain its performance on scans completed on different types of CT equipment across multiple medical centers.  

mammography mammogram breast imaging

Amid the COVID-19 pandemic, Michigan Medicine saw its peak processing of breast images climb to 198 hours or about 8.25 days, necessitating changes. 

Thumbnail

This new information on the pathogenesis of both conditions could be useful for the development of interventions targeted at slowing cognitive decline. 

Radiology "maestro" addresses department workflow hiccups.

The radiologist maestro assesses colleagues' needs in real-time and makes decisions accordingly at Children’s Hospital of Philadelphia. 

Around the web

The pressure is on for ASE and other societies to create a new CPT code for the use of interventional echocardiography during structural heart procedures.

Beyond amyloidosis, nuclear cardiology is also increasingly used to image inflammation and infection in the myocardium, especially in diseases such as cardiac sarcoidosis and myocarditis.

PET has already gained significant momentum in recent years. Now, researchers are pointing to another possible use for the popular imaging modality: assessing carotid artery atherosclerosis.