News

Thumbnail

The nation’s largest radiology practice is introducing an AI-based service that can warn women of looming cardiovascular risk whenever they receive a routine screening mammogram.

merger acquisition handshake deal business agreement partnership

Ventures will serve as a hub for academic institutions, developers and industry leaders looking to drive meaningful innovation in radiology. 

google bard cloud AI privacy policy

Some of today’s large language models may be more effective communicators than providers when it comes to explaining interventional radiology procedures. 

doctor wrong patient wrong-site surgery medical error malpractice mistake

A radiology department is in hot water following a case of mistaken identity that resulted in a delayed diagnosis. 

District of Columbia DC congress capitol hill

Medicare payments will be put on a 10-day hold, with about 53% of CMS staff retained, and rulemaking at the key agency is likely delayed.

Thumbnail

Neiman Health Policy Institute experts urged radiology leaders to use these results in evaluating issues related to retention in their own practices. 

U.S. FDA Sign

The U.S. Food and Drug Administration highlighted concerns about "data drift," which can potentially lead to performance degradation, bias or reduced reliability. 

Planmed XFI upright CT scanner

The device is intended for use in orthopedics, where weight-bearing imaging can make a significant difference in diagnosis and treatment.

cardiologist viewing heart data

Despite the opportunistic screening capabilities afforded by artificial intelligence applications, primary care providers are hesitant to embrace the technology.  

computer vision in radiology

Radiologists are known to miss comical oddities planted in medical images. In one study conducted in 2013, 83% of rads famously missed a man in a monkey suit waving hello from inside a lung scan.

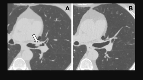
Lung cancer screening CT image in a 66-year-old male patient shows a sessile nodule with internal air in the left mainstem to left upper lobe bronchus (arrow) with a mean diameter of 10 mm. The nodule was assigned as Lung-RADS category 4A in the clinical report. (B) Follow-up CT image shows the lesion is resolved. Image courtesy of RSNA

Using the latest version was associated with improved diagnostic accuracy, researchers wrote in a new analysis. 

Dual energy CT scanners should be powered down more often to reduce energy consumption.

And not just on nights and weekends, authors of a new analysis on energy consumption in CT departments argue.

Around the web

Jamieson M. Bourque, MD, MHS, previewed his plans for the future in a new interview with Cardiovascular Business. 

An updated version of Heartflow's Plaque Analysis platform has gained FDA clearance. In addition, the company announced that Cigna will cover the platform going forward.

Several groups collaborated on the document, which is designed to help clinicians provide high-quality, consistent care when using flurpiridaz during cardiac PET imaging exams.