News

Thumbnail

The nation’s largest radiology practice is introducing an AI-based service that can warn women of looming cardiovascular risk whenever they receive a routine screening mammogram.

merger acquisition handshake deal business agreement partnership

Ventures will serve as a hub for academic institutions, developers and industry leaders looking to drive meaningful innovation in radiology. 

google bard cloud AI privacy policy

Some of today’s large language models may be more effective communicators than providers when it comes to explaining interventional radiology procedures. 

doctor wrong patient wrong-site surgery medical error malpractice mistake

A radiology department is in hot water following a case of mistaken identity that resulted in a delayed diagnosis. 

District of Columbia DC congress capitol hill

Medicare payments will be put on a 10-day hold, with about 53% of CMS staff retained, and rulemaking at the key agency is likely delayed.

Thumbnail

Neiman Health Policy Institute experts urged radiology leaders to use these results in evaluating issues related to retention in their own practices. 

U.S. FDA Sign

The U.S. Food and Drug Administration highlighted concerns about "data drift," which can potentially lead to performance degradation, bias or reduced reliability. 

Planmed XFI upright CT scanner

The device is intended for use in orthopedics, where weight-bearing imaging can make a significant difference in diagnosis and treatment.

Demand is growing for the modality, but provider groups, particularly those in private practice, have struggled to meet state regulatory requirements. 

Comparison of a 2D digital mammogram and breast tomosynthesis 3D mammography from UCSF.

Although DBT exams are proven to identify more difficult to detect cancers, especially among women with dense breasts, they also include significantly more images than standard 2D mammograms. 

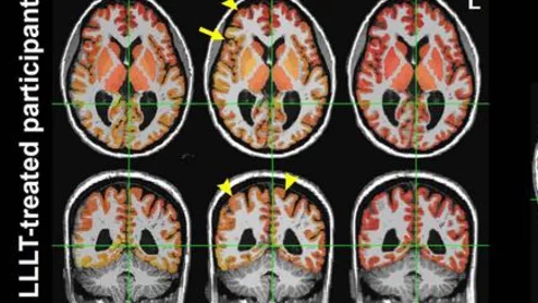
light therapy improves brain connectivity after head trauma

In the study, patients who underwent light therapy showed improved connectivity between seven brain region pairs.

RSNA attendee tries out the new Philips 5300 MRI system video viewing system (projected on the wall behind the MRI and viewed using a mirror) to entertain patients during longer exams. The system is a "helium free" system. It has a seals cooling system so it only uses 7 liters of helium, as opposed to the usual 1,500 liters in conventional MRI systems.

The company made the announcement following the 1,111th installation of its BlueSeal 1.5T magnet, which took place at the Vida Imaging and Breast Center in Bayamón, Puerto Rico. 

Around the web

Jamieson M. Bourque, MD, MHS, previewed his plans for the future in a new interview with Cardiovascular Business. 

An updated version of Heartflow's Plaque Analysis platform has gained FDA clearance. In addition, the company announced that Cigna will cover the platform going forward.

Several groups collaborated on the document, which is designed to help clinicians provide high-quality, consistent care when using flurpiridaz during cardiac PET imaging exams.