News

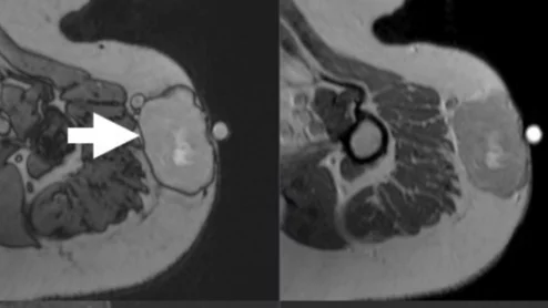
COVID-19 medical imaging examples of various clinical presentations. SARS-CoV-2 clinical imaging presentations.

This image gallery shows what the various clinical presentations associated with the COVID-19 and long COVID that have been documented during and after coronavirus pandemic.

iad Ali, MD, DPhil, director of the DeMatteis Cardiovascular Institute and director investigational interventional cardiology, St. Francis Hospital and Heart Center, explains how coronary computed tomography angiography (CCTA) offers a shift in cardiac care and interventional cardiology because of the information it offers on plaque burden and ischemia based on fractional flow reserve CT (FFR-CT). #TCT #YesCCT

Ziad Ali, MD, explains how coronary computed tomography angiography is creating a major shift in cardiac care.

Thumbnail

Despite the dangers associated with the condition, its presence can often evade detection during pregnancy.

money court scale of justice ruling legal settlement

The tech allegedly completed thousands of exams without the appropriate licensure over a period of three years.

Breast cancer AI ribbon pink artificial intelligence

Experts believe the tool could better inform surveillance strategies in women who have been treated for breast cancer.

Total plaque volume and total plaque burden can help find patients who may be closer to suffering a heart attack than they realize.

Researchers in the U.K. from Newcastle University, University of Leeds, and the University of East Anglia found they could use cardiovascular magnetic resonance (CMR) T2 intracardiac blood pool data to create imaging-derived SvO2 (iSvO2) noninvasively.

Advanced imaging may be able to help certain heart patients avoid the risks and discomfort associated with right heart catheterizations.

phone

Amid work-from-home disparities between interventional and diagnostic rads, researchers recently interviewed hundreds of IRs to learn about the landscape. 

Rich Fabian, Medical Imaging Technology at AdvaMed Imaging chair of board, a medtech industry group made up of medical imaging companies to address higher level trends and public policy concerns, said tariffs are having a major impact for all vendors due to diverse supply chains that cannot be changed overnight. He said the U.S. tariffs and counter tariffs from, various countries will raise costs for U.S. health systems at a time where margins for them are already razor thin. #RSNA

AdvaMed, a medtech industry group made up of medical imaging companies, says tariffs are having a major impact for all vendors. 

Unlike most AI tools that were built for specific applications like identifying stroke, the foundation model can be used for a wide array of tasks, as it can learn from other AI frameworks. 

artificial intelligence

Despite diagnostic imaging leading with over 1,000 FDA-cleared AI tools, the Bureau of Labor Statistics expects radiology to see 5% job growth through 2034.

radiology report bubbles translate informatics imaging

Scientists with Columbia University are warning of a forthcoming bubble bursting in healthcare AI, sharing their thoughts in Health Affairs. 

Around the web

Ziad Ali, MD, explains how coronary computed tomography angiography is creating a major shift in cardiac care.