News

The U.S. Food and Drug Administration (FDA) has granted UltraSight an expansion of its Echo Stewardship Platform compatibility with additional ultrasound system types. This enables deployment of artificial intelligence (AI) guidance for focused cardiac ultrasound (FoCUS) across an entire healthcare system without the need to buy new ultrasound systems. The move enables health systems to expand use of the AI on compatible equipment they already own, including handheld, laptop and cart-based systems.

This update helps health systems get more value out of UltraSight's advanced AI technology—all without buying brand new ultrasound equipment.

Video interview with ASE President David Weiner explains goals of society in 2026. #ASE

ASE President David Wiener, MD, discussed his goals for 2026 in a new video interview. "The imager who doesn't use artificial intelligence will be replaced by the imager who does,” he said.

Envision Radiology

With the deal, Envision will add a total of 42 freestanding centers across six states, ballooning its location count to more than 100 nationwide. 

radiologist radiology pay compensation money dollar

The company is expanding into southwest Florida, one of the Sunshine State’s fastest growing geographies, with the purchase of Radiology Regional. 

healthcare business deal

Spring View Hospital, Lebanon, is teaming with RP effective Dec. 11, with the practice providing both on-site and remote radiology services. 

Thumbnail

This news follows similar announcements from Humana, Cigna and UnitedHealthcare; a majority of insured Americans can now be treated with these technologies and have the procedure covered by their provider. 

ChatGPT large language models radiology health care

Context is the key to accurate and effective large language model protocoling for CT scans, according to new research. 

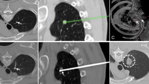
Robotic-assisted RFAs yield better outcomes during lung tumor ablations

Often integrated with artificial intelligence, these systems have been shown to improve accuracy and reproducibility during IR care. 

A large study is shining a light on problematic racial disparities with respect to imaging utilization in men with suspected prostate cancer. 

Many also believe AI may be even more accurate than physicians when it comes to detecting imaging abnormalities.

DTI improves return to play protocols

DTI use could enable providers to make more informed decisions about athletes’ readiness to re-enter competition. 

Thumbnail

Anderson Healthcare in Maryville, Illinois, said it's short on techs and rads and facing weeklong delays in report turnaround times. 

Around the web

This update helps health systems get more value out of UltraSight's advanced AI technology—all without buying brand new ultrasound equipment.